| 
					 신경치료  | 
			
|---|
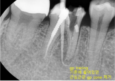
수많은 임플란트 케이스를 진행하면서도 이백점치과는 '자연치아는 그 어떤 임플란트로도 대체할 수 없다'는 확고한 철학을 가지고 있습니다. 그래서 언제나 자연치아를 살리기 위해 최선을 다합니다. 이번 사례는 타 치과에서 발치 진단을 받은 치아를 성공적으로 재신경치료하여 살려낸 고난도 케이스입니다. CASE. "뽑아야 한다던 치아, 재신경치료로 살려냈어요!" ○환자분의 고민 - 타 치과에서 이미 신경치료를 받았음에도 계속 불편감을 호소하며 내원한 환자분이었습니다. - 오른쪽 아래 치아 앞 잇몸에 고름 주머니(농양)가 생겨 있었고,  방사선 사진상 뿌리 끝에 심한 염증과 고름이 확인되었습니다. - 더욱이 이미 신경치료 후 포스트(기둥)까지 박혀있어, 타 치과에서는 이미 '발치'를 고지받은 상황이었습니다. ![]() ○ 진단: 정밀 CT 촬영을 통해 고름 주머니가 생긴 원인을 분석했습니다. 기존 신경치료가 되어있던 뒤쪽 뿌리가 아닌,  앞쪽 뿌리의 신경관에 문제가 발생하여 염증이 재발된 것을 정확히 진단했습니다. ![]() '발치 없이' 자연치아를 살리는 재신경치료 이백점치과는 고심 끝에 기존 기둥을 그대로 두고, 문제의 원인이었던 앞쪽 뿌리를 다시 신경치료하기로 결정했습니다. 1. 정교한 기존 재료 제거 : 기존에 충전되어 있던 신경치료 재료를 조심스럽게 제거했습니다. 2. 꼼꼼한 신경관 재정비 : 뿌리 끝까지 신경관을 깨끗하게 넓히고 소독했습니다. 3. 염증 해소 약재 적용 : 뿌리 끝 염증 해소를 위해 염증 완화 약재를 세심하게 적용했습니다. 기적 같은 결과, 1년 후에도 건강하게! - 3주 만의 드라마틱한 호전: 불과 3주 만에 바깥 잇몸의 고름 주머니가 완전히 없어졌고, 환자분의 모든 증상이 사라졌습니다.  이후 신경치료를 마무리하고 보철 치료까지 성공적으로 진행했습니다. - 1년 뒤에도 완벽한 경과: 1년 뒤 다시 체크했을 때, 염증은 전부 가라앉았고 고름 주머니 흔적 없이 깨끗했습니다.  심지어 염증으로 녹아있던 뼈 부위에는 새로운 뼈가 형성되고 있음이 확인되었습니다. ![]() 환자분 또한 통증 없이 건강하게 생활할 수 있어 매우 감사하다는 인사를 전했습니다. ![]() 이처럼 살리기 어렵다고 판단되던 고난도 치아를 발치 없이 살려낸 사례는 의료계 내부에서도 높은 평가를 받았습 니다. 이백점치과는 항상 환자분의 입장에서 생각하며 '발치만이 해답이 아님'을 증명하고, 자연치아 보존을 위한 최선의 노력을 다하고 있습니다. ![]()  | 
			
| 
					 이전글 
					
				 | 
			
| 
					 다음글 
					
				 | 
			
