이백점치과치과이백점치과치과
이백점치과
  • 전문의 5인 분과별 협진으로
    백점을 넘어선 완벽함, 이백점 치과에서 완성
  • 구강외과, 치과보철과, 치과보존과, 통합치의학과, 마취통증의학과 등
    각 분야에 전문성을 갖춘 분과별 5인의 전문의 협진 시스템으로
    환자분들에게 전문성을 최선의 진료를 제공합니다.
  • 당신의 치아에 이백점을 심는 치과
    강남 대형병원 외과 출신, 임플란트 식립 10년 경력
    대표원장의 차원이 다른 전문성
  • 다른 병원에서 꺼리는 복잡한 뼈 상태, 전실질환자 등
    수많은 고난이도 임상케이스로 입증된 전문성으로
    정밀한 임플란트 식립이 가능합니다.
  • 자연스러운 미소의 완성
    이백점치과 당일 라미네이트
  • 서울대 보철과 전문의의 장인정신으로
    치아의 형태, 기능, 심미성까지 고려한
    얼굴에 딱 맞는 황금비율로
    치료를 넘어, 덴탈뷰티의 기준이 되다.
  • 편안한 치과 치료, 이제 현실이 되다.
    마취통증의학과 전문의가
    처음부터 끝까지 직접 시행하는 의식하진정법
  • 더 이상 치과 공포 때문에 중요한 치료를 미루지 마세요.
    마취과 전문의의 전문성과 환자 모니터링 시스템이 결합된
    이백점치과의 의식하진정치료로 편안하고 안전한 치과 치료 경험해보세요.
  • 이백점치과
  • 이백점치과
01
02
03
04
이백점치과 의료진 박 상 준 대표원장
  • 박 상 준 대표원장
    통합치의학과 전문의
    약력보기 +
이백점치과 의료진 성 소 래 원장
이백점치과 의료진 황 혜 경 원장
이백점치과 의료진 백 동 준 원장
이백점치과 의료진 박 준 범 원장
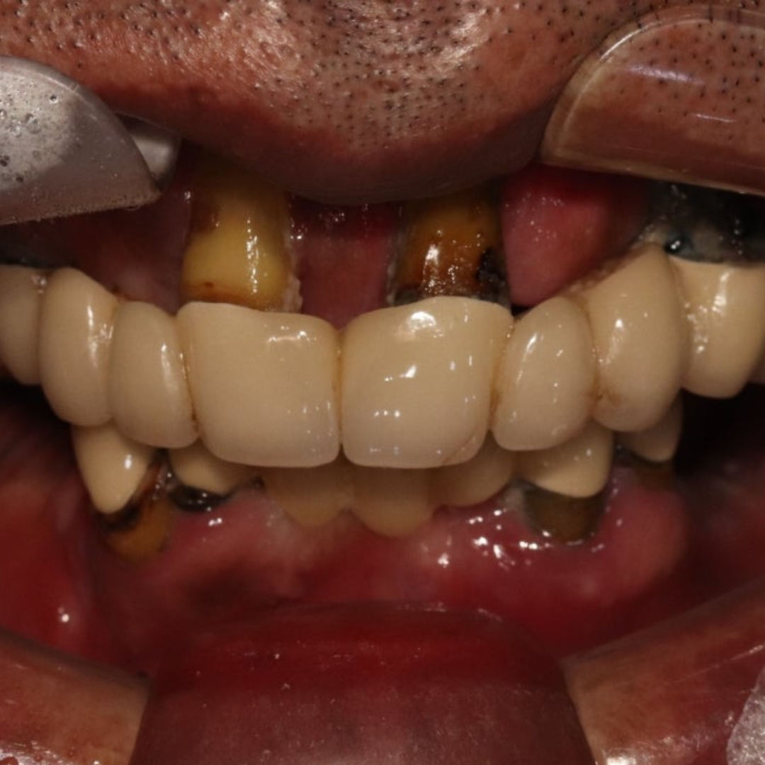
  • 이백점치과 임플란트
  • 이백점 임플란트
  • 수많은 임상케이스로 입증된 전문성으로
    처음부터 끝까지
    정밀한 임플란트 식립이 가능
  • READ MORE
  • 이백점치과 의식하 진정
  • 이백점 의식하진정치료
  • 마취과 전문의의 전문성과
    실시간 환자 모니터링 시스템이
    결합된 의식하진정치료
  • READ MORE
  • 이백점 심미보철
  • 이백점 라미네이트
  • 자연치아를 최대한 보존하면서
    치아의 심미성과 기능을 동시에 만족시키는
    맞춤형 솔루션 제공
  • READ MORE
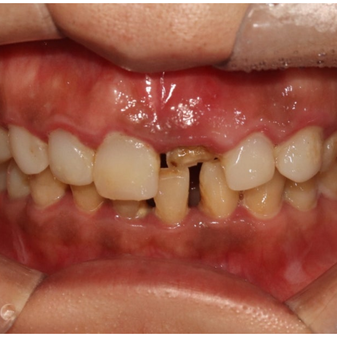
  • 이백점 신경치료
  • 이백점 신경치료
  • 서울대학교 치과병원
    보존과 전문의가
    충치부터 미세 신경치료까지
    세심하게
  • READ MORE
임플란트
  • 임플란트
  • 디지털 임플란트
    의식하진정 임플란트
    발치즉시 임플란트
    전체 임플란트
    재수술 임플란트
    임플란트 틀니
    상악동 거상술
    뼈이식 임플란트
    디지털 가이드 임플란트
심미치료
  • 심미치료
  • 미백치료
    라미네이트
    레진치료
    앞니 재치료
    잇몸 성형
    보톡스
틀니치료
  • 틀니치료
  • 전체 틀니
    부분 틀니
자연치아 살리기
  • 자연치아 살리기
  • 신경치료
    MTA 근관치료
    치주치료
    충치치료
일반진료
  • 일반진료
  • 구강검진
    스케일링
    사랑니 발치
교정치료
  • 교정치료
  • 투명교정
    클리피씨 교정
    세라믹 교정
    메탈 교정
    부분 교정
턱관절 치료
  • 턱관절 치료
  • 물리치료
    보톡스치료
    약물치료
    스플린트
소아진료
  • 소아진료
  • 영유아 구강검진
    학생 구강검진
    불소도포
회복&리프팅 케어
  • 회복&리프팅 케어
  • 슈링크
    V-max
    보톡스
    스킨보톡스
    수액ㆍ영양주사
  • 분과별 전문의
  • 5
  • 보건복지부 인증 전문의 협진 시스템으로
    차별화된 통합 진료 가능
  • 임상경력
  • 10
  • 서울아산병원, 강남 대형병원 외과 출신
    대표원장의 차원이 다른 전문성
  • 양천구, 대형치과
  • 200
  • 환자 중심 설계로 쾌적하게
    진료 받을 수 있도록 계획된 공간
  • 200 Dentals Dentist Story
  • 치과진료에 대한 다양한 궁금증과
    치료 연구를 위한 증례 이야기
  • 본 컬럼은 56조 제 1항의 의료법을 준수하여 작성되었으며 실제 내원 환자분의 동의하에 공개된 치료과정의 사진이 포함되어 있습니다.
    개인에 따라 진료 및 치료방법이 다르게 적용될 수 있으며, 효과와 부작용이 다르게 나타날수 있는점을 안내 드립니다.
임상증례 전체보기 +
  • Digital Optimum
  • 진단부터 진료까지, 디지털 시스템 구축
  • 오차를 줄인 정밀하고 완성도 높은 진단과 치료가 가능합니다
  • 디지털 치료 중심 장비
  • Vatech Green X(최고급사양)

    방사선 피폭량을 획기적으로 줄이면서도
    고해상도의 3차원 영상을 제공

  • 디지털 치료 중심 장비
  • 구강스캐너(TRIOS 5)

    굴곡진 부분, 가파른 부분의 인상 채득이 가능해
    정교한 보철물 제작이 가능

  • 디지털 치료 중심 장비
  • 독일 MELAG 멸균소독기

    완전한 세척과 멸균 효과를 얻을 수 있는 시스템으로
    감염관리에 효과적인 장비

  • 디지털 치료 중심 장비
  • 전기 수술장비

    고주파 전류를 이용해 조직을 정밀하게 절개해
    출혈 최소화, 감염 위험을 줄이는 등 다양한 장점을 제공

  • 디지털 치료 중심 장비
  • 중앙 모니터링 시스템

    네트워크로 연결된 모니터, 무선 전송 솔루션,
    원격 측정 송신기에서 로컬 및 원격으로 환자 정보 표시​

  • 디지털 치료 중심 장비
  • 환자 상태 모니터링 장비

    실시간으로 환자의 상태를 체크하고 대응하여
    모든 응급상황에 만전을 기함

  • 디지털 치료 중심 장비
  • 아쿠아케어

    샌드블라스팅 기술을 이용해 치아 착색을 제거하고
    레진 본딩을 위한 깨끗한 치아 면을 만드는 데 사용​

  • 디지털 치료 중심 장비
  • 턱관절 물리치료기

    턱관절 장애, 임플란트, 사랑니 발치 시
    세포재생, 통증감소 및 염증완화에 효과적​

  • 디지털 치료 중심 장비
  • 무통마취기

    마취제 주입 속도와 압력을 전자동으로 조절해
    보다 빠르고 효과적인 통증 완화 효과​​

  • 디지털 치료 중심 장비
  • 플라즈마 소독기

    저온 멸균으로
    의료기구의 손상을 최소화 및 빠른 멸균이 가능​

  • 디지털 치료 중심 장비
  • 큐레이

    인체에 무해한 특정 파장으로
    치아 우식, 크랙 진단이 가능한 광학식 진단장비​

  • 디지털 치료 중심 장비
  • 무영등

    스마트 센서로 주변 환경에 따라 조도를 자동으로 조절해
    수술 중 최적의 조도 유지​

  • 디지털 치료 중심 장비
  • novacare 소독수

    치과 진료용수를 전기분해해
    소독수(차아염소산수)로 공급하는 살균 시스템 완비

  • 디지털 치료 중심 장비
  • 무통스케일링

    기존 스케일링의 단점을 보완, 자극을 최소화해
    통증과 시림을 현저히 줄인 스케일링이 가능

1대기실
2대기실
3데스크
4예진실
5상담실
6상담실
7임플란트실
8통합진료실
9의식하진정치료실
10특진실
113D-CT실
12진료실 복도
13파우더룸
대기실
대기실
대기실
대기실
데스크
데스크
예진실
예진실
상담실
상담실
상담실
상담실
임플란트실
임플란트실
통합진료실
통합진료실
의식하진정치료실
의식하진정치료실
특진실
특진실
3D-CT실
3D-CT실
진료실 복도
진료실 복도
파우더룸
파우더룸
  • 이백점치과
  • 이백점치과
  • 오차 줄인 신속하고 정확한 진료를 위한
    다양한 디지털 진단 장비
  • 바텍사 3D CT 2대, Trios5 구강스캐너 2대,
    3D PRINT 등 첨단 디지털 장비들을 적극적으로 도입하여 진단부터,
    치료 그리고 사후 관리까지 오차를 줄인 정밀한 치료를 제공하고 있습니다.
  • 통증경감 시스템
  • 다양한 최첨단 장비를 활용한 도포마취, 무통마취기, 국소마취, 의식하진정 등
    단계별 마취를 진행해 치료 과정 전반에서 불안감과 통증을 최소화합니다.
  • #임플란트 #사랑니 발치 #신경치료 #잇몸성형, 스케일링
  • 정교한 보철물 제작이 가능한
    원내 디지털 기공실 보유
  • 이백점 치과에서는 치과 기공사와 첨단 디지털 장비를 보유한
    자체 기공실 운영으로 모든 임플란트 케이스 가이드 제작 및
    1:1 맞춤 보철물의 빠른 제작과 수정이 가능합니다.
  • #치료 기간 단축 #원스톱 보철물 제작 #오차 줄인 보철물 제작 #신속한 수정 반영
  • 원내 디지털 기공실 보유
  • 자연치아 보존을 최우선으로
  • 자연치아를 살리는 것보다 더 좋은 치료는 없습니다.
    이백점치과에서는 자연치아 보존을 최우선으로
    잇몸치료, 고난도 재신경치료 등 치아보존 치료가 가능합니다.
  • 언제나 빈틈없이
    진료받을 수 있도록 준비된 곳
  • 일주일 매일 진료로 주말에도 열려 있습니다.
    365일 언제나 부담없이 진료 받으러 오세요.
  • 환자 안전을 최우선으로
    철저한 위생관리와 멸균소독 시스템
  • 1인 1기구 사용을 원칙으로 24시간 멸균소독,
    노바케어 안전 살균수 사용 등 철저한 위생관리와
    멸균소독 시스템으로 운영되고 있습니다.
이백점치과 이백점치과
디지털 진단장비
통증경감 시스템
원내 기공실 보유
자연치아 보존 최우선
일요일 진료
멸균소독 시스템

이백점치과